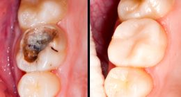
Health Teeth Scientists Have Found A Drug That Regenerates Teeth, And It Could Leave Dentists Without Work Your ads will be inserted here byAdSense Now!.Please go to the plugin… AdminDecember 7, 20222.6K views
Health 20 Practical Uses For Coca Cola – Proof That Coke Does Not Belong In The Human Body Coke is the most valuable brand in history, and “Coca-Cola” is the world’s second-most… AdminDecember 7, 2022306 views
Health There’s An Unexpected Benefit To Eating Celery That No One Knew About… Until Now! Celery is by far one of the most underrated vegetables. Many people… AdminDecember 7, 2022257 views
Health How To Detect Negative Energies At Home Using Only A Glass Of Water? Negative energies are something which can affect your family, your pets, you… AdminDecember 7, 2022821 views
Health Burn Bay Leaves In The House And See What Happens After 10 Minutes! No spice collection is complete without bay leaves. For thousands of years,… AdminDecember 7, 2022361 views
Health You Will Not Believe What Will Happen If You Spray Your Bed With Alcohol! Many people use alcohol for adhesive removal or as disinfectant. But only… AdminDecember 6, 20222.3K views